Содержание
- Задание 1. Стратегии объединения в группы для нападения на жертву известны у многих крупных хищников, но недавние исследования показали, что подобное поведение возможно и у представителей морских голожаберных моллюсков. Предположите, для чего данный вид моллюсков объединяется в группы для атаки на добычу?
- Задание 2. Бабочки, наравне с другими насекомыми, традиционно рассматриваются как пойкилотермные животные. Выберите вариант, который наилучшим образом объясняет полученные результаты.
- Задание 3. Выберите верное утверждение для эвглены.
- Задание 4. На фотографиях показан разрез через таллом лишайника. Выберите верное утверждение.
- Задание 5. Почвенные микроорганизмы в течение одного года разрушают мягкие ткани опавших листьев. Остаётся «скелет» листа, показанный на изображении. Основой «скелета» является вещество, которое разрушается медленнее, чем мягкие ткани. Обладая определённым свойством, оно наделяет им и само растение. Укажите это свойство.
- Задание 6. В 2020 году группа китайских ботаников посетила одно из самых богатых по количеству видов место на планете − горы Юго-Западного Китая − и обнаружила новый для этой местности вид растения. Можно предположить, что у этого растения
- Задание 7. На сырых лугах и болотах Северной Америки можно встретить гелениум осенний − красивое многолетнее травянистое растение. Как видно из общей структуры соцветия, оно относится семейству Сложноцветные. У какого известного рода сложноцветных такой же набор типов цветков в соцветии, что и у гелениума?
- Задание 8. На рисунке изображён представитель отряда цериантарии (лат. Ceriantharia), типа стрекающие (лат. Cnidaria). Рассмотрите рисунок и выберите НЕверное утверждение.
- Задание 9. Ректальная железа − пальцеобразный вырост прямой кишки у хрящевых рыб. Выберите функцию, которую выполняет данный орган.
- Задание 10. На картинке представлены внешне похожие организмы − кольчатая червяга (слева) и обыкновенная гадюка (справа). Несмотря на внешнее сходство, они относятся к разным классам Позвоночных. Червяга относится к Амфибиям (Земноводным), а гадюка − к Рептилиям. Для гадюки, в отличие от червяги, характерно
- Задание 11. Из перечисленных ниже гормонов в гипофизе выделяется
- Задание 12. Внутреннее ухо располагается в полости
- Задание 13. В каком органе суммарная площадь поперечного сечения сосудов максимальна?
- Задание 14. Многие люди во время посадки самолёта испытывают неприятные ощущения в ушах, что происходит из-за быстрой смены давления. Через некоторое время после посадки боль пропадает. Это возможно благодаря выравниванию давления в среднем и наружном ухе. Прохождение воздушных масс в полость среднего уха возможно через
- Задание 15. Дыхание − процесс, контролируемый продолговатым мозгом. Частота дыхания и его глубина зависят от тех условий, в которых находится человек. Ниже на рисунке нормальное дыхание изображено буквой Б. Выберите вариант, при котором дыхание имело бы вид, как на картинке А.
- Задание 16. Белые адипоциты содержат большую жировую каплю и зажатое между ней и мембраной ядро. Бурые адипоциты включают много митохондрий. Исходя из этой информации, выберите среди микрофотографий ту, на которой изображена бурая жировая ткань.
- Задание 17. В редких случаях представители двух разных биологических видов могут скрещиваться и давать плодовитое потомство. Одной из причин, объясняющих данную закономерность, является
- Задание 18. Из перечисленных клеток теряют ядро в ходе развития
- Задание 19. Какие клетки НЕ представлены на данном препарате?
- Задание 20. У какого животного можно встретить такую кровь?
- Задание 21. Из представленного списка выберите углевод, который усваивается наиболее быстро и просто.
Задание 1. Стратегии объединения в группы для нападения на жертву известны у многих крупных хищников, но недавние исследования показали, что подобное поведение возможно и у представителей морских голожаберных моллюсков.
Предположите, для чего данный вид моллюсков объединяется в группы для атаки на добычу?
Ответ: Стратегия помогает справиться с ядовитым щупальцем актинии. Когда щупальце движется в одну сторону, с другой стороны оголяются участки тела, которые моллюски и атакуют.
Задание 2. Бабочки, наравне с другими насекомыми, традиционно рассматриваются как пойкилотермные животные. Выберите вариант, который наилучшим образом объясняет полученные результаты.
Ответ: Мышцам для работы нужна АТФ. При гидролизе этого соединения и при работе мышц выделяется тепло, которое фиксирует тепловизор.
Задание 3. Выберите верное утверждение для эвглены.
-
глазок расположен в хлоропласте
-
имеет два неравных жгутика
-
имеет один жгутик
-
может размножаться половым путём
Задание 4. На фотографиях показан разрез через таллом лишайника. Выберите верное утверждение.
-
лишайник гомеомерный
-
фотобионт − цианобактерия
-
нижняя кора отсутствует
-
лишайник гетеромерный
Задание 5. Почвенные микроорганизмы в течение одного года разрушают мягкие ткани опавших листьев. Остаётся «скелет» листа, показанный на изображении. Основой «скелета» является вещество, которое разрушается медленнее, чем мягкие ткани. Обладая определённым свойством, оно наделяет им и само растение. Укажите это свойство.
-
водонепроницаемость
-
коричневая окраска
-
растворимость в воде
-
пористость
Задание 6. В 2020 году группа китайских ботаников посетила одно из самых богатых по количеству видов место на планете − горы Юго-Западного Китая − и обнаружила новый для этой местности вид растения. Можно предположить, что у этого растения
-
созревание пыльцы происходит в тычинках
-
мужские шишки производят пыльцевые зёрна
-
споры образуются в спорангиях, собранных в сорусы
-
имеются скопления спороносных листьев − стробилы
Задание 7. На сырых лугах и болотах Северной Америки можно встретить гелениум осенний − красивое многолетнее травянистое растение. Как видно из общей структуры соцветия, оно относится семейству Сложноцветные. У какого известного рода сложноцветных такой же набор типов цветков в соцветии, что и у гелениума?
-
чертополох
-
ромашка
-
василёк
-
одуванчик
Задание 8. На рисунке изображён представитель отряда цериантарии (лат. Ceriantharia), типа стрекающие (лат. Cnidaria). Рассмотрите рисунок и выберите НЕверное утверждение.
-
Число септ взрослой особи кратно шести.
-
Новые септы закладываются в зоне роста напротив единственного сифоноглифа.
-
Данный организм имеет два круга щупалец: внутренний лабиальный и наружный маргинальный.
-
Расположение септ, сифоноглиф и уплощённая глотка создают картину билатеральной симметрии.
Задание 9. Ректальная железа − пальцеобразный вырост прямой кишки у хрящевых рыб. Выберите функцию, которую выполняет данный орган.
-
выделение водоотталкивающего маслянистого секрета
-
перераспределение мочевины из первичной мочи в ткани
-
функцию семяпровода
-
выведение избытка солей
Задание 10. На картинке представлены внешне похожие организмы − кольчатая червяга (слева) и обыкновенная гадюка (справа). Несмотря на внешнее сходство, они относятся к разным классам Позвоночных. Червяга относится к Амфибиям (Земноводным), а гадюка − к Рептилиям. Для гадюки, в отличие от червяги, характерно
-
туловищная почка (мезонефрос) в течение всей жизни
-
преобладание кожного дыхания
-
неполная перегородка в сердце
-
редукция не только ног, но и поясов конечностей
Задание 11. Из перечисленных ниже гормонов в гипофизе выделяется
-
соматостатин
-
секретин
-
кальцитонин
-
окситоцин
Задание 12. Внутреннее ухо располагается в полости
-
затылочной кости
-
височной кости
-
теменной кости
-
черепной коробки
Задание 13. В каком органе суммарная площадь поперечного сечения сосудов максимальна?
орган А
орган Б
орган В
орган Г
Задание 14. Многие люди во время посадки самолёта испытывают неприятные ощущения в ушах, что происходит из-за быстрой смены давления. Через некоторое время после посадки боль пропадает. Это возможно благодаря выравниванию давления в среднем и наружном ухе. Прохождение воздушных масс в полость среднего уха возможно через
-
боталлов проток
-
фаллопиеву трубу
-
евстахиеву трубу
-
аранциев проток
Задание 15. Дыхание − процесс, контролируемый продолговатым мозгом. Частота дыхания и его глубина зависят от тех условий, в которых находится человек. Ниже на рисунке нормальное дыхание изображено буквой Б. Выберите вариант, при котором дыхание имело бы вид, как на картинке А.
-
дыхание при тяжёлой гипоксии головного мозга
-
дыхание в жаркой комнате
-
дыхание после интенсивного забега
-
дыхание после сильного испуга
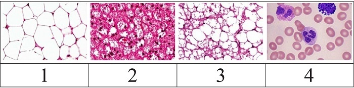
Задание 16. Белые адипоциты содержат большую жировую каплю и зажатое между ней и мембраной ядро. Бурые адипоциты включают много митохондрий. Исходя из этой информации, выберите среди микрофотографий ту, на которой изображена бурая жировая ткань.
Ответ: рис 1
Задание 17. В редких случаях представители двух разных биологических видов могут скрещиваться и давать плодовитое потомство. Одной из причин, объясняющих данную закономерность, является
-
мутационный процесс
-
удвоение хромосом при полиплоидизации
-
диминуция (удаление) хроматина второго вида-донора
-
гомологичная рекомбинация при образовании половых клеток
Задание 18. Из перечисленных клеток теряют ядро в ходе развития
-
фибробласты
-
моноциты
-
ретикулоциты
-
астроциты
Задание 19. Какие клетки НЕ представлены на данном препарате?
-
фибробласты
-
макрофаги
-
эпителиоциты
-
строциты
Задание 20. У какого животного можно встретить такую кровь?
-
человек разумный
-
слизень садовый
-
слон африканский
-
лягушка озёрная
Задание 21. Из представленного списка выберите углевод, который усваивается наиболее быстро и просто.
-
инулин
-
фруктоза
-
крахмал
-
сахароза
